Zurück zur Lebensqualität: Wie eine Patientin mit Psoriasis-Arthritis dank Taltz® beschwerdefrei wurde Logo of esanum https://www.esanum.de

Zur&uuml;ck zur Lebensqualit&auml;t: Wie eine Patientin mit Psoriasis-Arthritis dank Taltz<sup>®</sup> beschwerdefrei wurde

Bei der Dozentin bestand bereits seit 2006 eine <strong>Plaque-Psoriasis </strong>mit hartn&auml;ckigen L&auml;sionen an Stamm, Armen und Beinen. Beim Dermatologen hatte sie dagegen regelm&auml;&szlig;ig eine <strong>PUVA-Therapie</strong> erhalten.

Kasuistik

Dr. med. Christina Binder-Jovanović, Rheumatologin aus München

Zurück zur Lebensqualität: Wie eine Patientin mit Psoriasis-Arthritis dank Taltz® beschwerdefrei wurde

PATIENTIN MIT PSA*, 65 JAHRE

Allgemeinzustand
Plaque-Psoriasis seit 19 Jahren
Psoriasis-Arthritis (PsA) seit 17 Jahren

Therapieverlauf
MTX → Ixekizumab+MTX → Ixekizumab

Therapieergebnis unter Ixekizumab
Schnelle Reduktion der Gelenkschmerzen und Plaques nach 4 Wochen; nach 8 Wochen vollständig erscheinungsfreie Haut; Pso und PsA seit über 5 Jahren stabil in Remission

Anamnese & Vortherapien

Dr. Christina Binder-Jovanović stellt Ihnen hier im Video die Patientin vor. Jetzt reinschauen:

 
 

Vortherapie

Bei der Dozentin bestand bereits seit 2006 eine Plaque-Psoriasis mit hartnäckigen Läsionen an Stamm, Armen und Beinen. Beim Dermatologen hatte sie dagegen regelmäßig eine PUVA-Therapie erhalten. 2008 waren Gelenkschmerzen hinzugekommen, die vor allem Zehen, Finger und Handgelenke betrafen. Die Patientin fühlte sich dadurch in ihrem Beruf stark eingeschränkt, weshalb sie sich in einer rheumatologischen Praxis vorstellte. Dort bekam sie die Diagnose einer Psoriasis-Arthritis und man stellte sie auf Methotrexat (MTX; 15 mg/Woche) ein, zunächst subkutan, später oral. Zudem litt sie an depressiven Verstimmungen und einem Burnout-Syndrom, weshalb sie zeitweise arbeitsunfähig war und im weiteren Verlauf in Frührente ging. Besonders die sichtbaren, stigmatisierenden Hautläsionen belasteten die Patientin psychisch sehr.

Vorstellung bei Dr. med. Christina Binder-Jovanović

2019 stellte sich die damals 59 Jahre alte Patientin erstmals bei Dr. Christina Binder-Jovanović, Rheumatologin aus München, vor. Ein MRT ergab eine erosive Osteochondrose im Bereich LWK5/S1 mit einem Bandscheibenprolaps. Die Patientin äußerte den Wunsch eines Medikamentenwechsels, da sie durch die MTX-Therapie unter einer leichten Abgeschlagenheit und Kopfschmerzen litt sowie häufig an Infekten der oberen Luftwege und Harnwege erkrankte. Dr. Binder-Jovanović empfahl jedoch zunächst, die MTX-Therapie mit einer reduzierten Dosis von 10 mg wöchentlich oral weiterzuführen. Durch die Dosisreduktion kam es jedoch zu einem erneuten Schub: Anfang 2020 kehrte die Psoriasis in voller Stärke zurück: Ihr PASI (Psoriasis Area and Severity Index) stieg von 4,0 im Januar auf 7,2 im Februar stark an. Auch der Genitalbereich war betroffen.

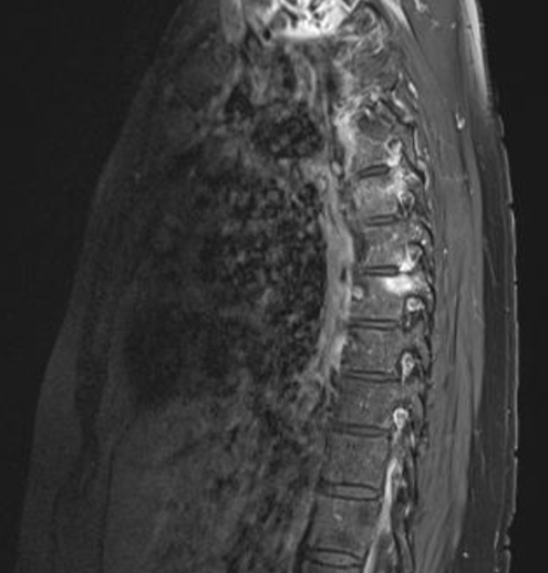
Zusätzlich klagte die Patientin über 7 schmerzende Gelenke (Tender Joint Count (TJC): 7). Die Schmerzen gab sie auf der Visuellen Analog Skala (VAS) mit 70 von 100 an. Besonders nachts waren die Rückenschmerzen quälend, während Bewegung tagsüber Linderung brachte. Die Blutsenkung lag bei 27 mm/h und der CRP-Wert bei 1,13 mg/dl. Rheumafaktor und CCP-AK waren nicht erhöht. Die Patientin war HLA-B27 negativ. Eine Untersuchung der Brustwirbelsäule im Februar 2020 zeigte eine Hyperämie am Kostotransversalgelenk und anteilig am Kostovertebralgelenk von BWK 7 links mit Ödem im angrenzenden Pedikel sowie diskrete Veränderungen auch an BWK 5 und eine diskale Enthesitis im Bereich BWK 5/6 rechts.


Abb. 1: MRT-Aufnahme vor der Therapie mit Taltz®

Klicken Sie hier, um zu erfahren, wie Dr. Binder-Jovanović der Patientin helfen konnte:

Therapieerfolg unter Taltz®

Therapieerfolg unter Taltz®

Therapieerfolg unter Taltz®

Umstellung der Therapie auf Taltz® bringt schnelle Besserung

Im März 2020 entschied sich die Patientin gemeinsam mit Dr. Binder-Jovanović für eine gezielte Therapie mit dem IL-17A-Inhibitor Ixekizumab (Taltz®) zunächst in Kombination mit MTX (10 mg/Woche) und mit NSAR-Einnahmen nach Bedarf. Bereits vier Wochen nach Therapiebeginn (April 2020) zeigten sich bereits deutliche Verbesserungen an der Kopfhaut und die meisten Plaques waren abgeheilt. Auch die Gelenkschmerzen waren nahezu verschwunden, lediglich Schmerzen in der Brustwirbelsäule (BWS) und im Knie blieben bestehen (TJC: 2). NSAR wurden nicht mehr benötigt.

Therapieverlauf mit Taltz® ermöglicht Absetzen von Methotrexat

Im Mai 2020 waren die Rückenschmerzen in der BWS vollständig abgeklungen, die Knieschmerzen hatten sich deutlich reduziert (VAS für Schmerz: 0). Beim Abrollen der Zehen verspürte die Patientin noch leichte Beschwerden (TJC: 1), doch ihre Haut war bereits vollständig erscheinungsfrei (PASI 0,1, Abb. 4). Die Patientin berichtete von einer Verbesserung ihrer Lebensqualität: Der Health-Assessment-Questionnaire(HAQ)-Score sank von 1,38 im Januar 2020 auf 0,38 im Mai 2020. Auch ihre Beweglichkeit verbesserte sich durch die Therapie (Funktionsfragebogen Hannover(FFbH)-Score: von 83,3 im Januar 2020 auf 94,4 im Mai 2020). Aufgrund des positiven Verlaufs konnte die Methotrexat-Therapie im Juni 2020 beendet werden. Als sich die Patientin im Juli 2020 erneut vorstellte, berichtete sie lediglich über eine leichte Morgensteifigkeit in der rechten Hand, die durch eine Tenosynovitis der dritten Beugesehne bedingt war. Beim Beugen der Knie verspürte sie noch leichte Schmerzen, doch insgesamt hatte sich ihr Zustand erheblich verbessert (TJC: 1; SJC: 0). Die Haut war vollständig erscheinungsfrei (PASI 0).

Im Video berichtet Dr. Binder-Jovanović über den Therapieerfolg unter Taltz®:

 
 

Dank Taltz® seit über 4 Jahren in Remission

Seit Herbst 2020 befinden sich sowohl die Psoriasis als auch die Psoriasis-Arthritis in einer Remission (PASI 0; TJC:0). Die Patientin lebt seitdem wieder komplett beschwerdefrei – ein Zustand, der bis heute anhält und der es ihr ermöglicht, das Radfahren als Hobby und ihre Reisefreudigkeit wieder auszuüben. Auch die depressiven Verstimmungen, die sie jahrelang belastet hatten, sind nicht mehr aufgetreten. Die Patientin zeigte unter der Taltz®-Therapie keinerlei Nebenwirkungen und kam mit der Anwendung mittels Fertigpen gut zurecht. Sie beschrieb den Behandlungserfolg wie folgt:

„Ich kann für 30 Tage vergessen, dass ich krank bin. Das bedeutet für mich Lebensqualität pur.“


Abb. 2: Therapieerfolg des Patienten unter Taltz®. FFbH: Funktionsfragebogen Hannover; HAQ: Health Assessment Questionnaire; MTX: Methotrexat; NSAR: Nicht-steroidale Antirheumatika; PASI: Psoriasis Area and Severity Index; PsA: Psoriasis Arthritis; Pso: Plaque-Psoriasis; SJC: Swollen Jount Count; TJC: Total Joint Count;

   


Abb.3: Entwicklung der Zahl der geschwollenen Gelenke unter der Therapie bei Dr. Binder-Jovanović


Abb. 4: Entwicklung der befallenen Haut unter der Therapie bei Dr. Binder-Jovanović

 

Lesen Sie auf der folgenden Seite das Fazit von Dr. Binder-Jovanović :

Fazit Frau Dr. Binder-Jovanović

Fazit Dr. Christina Binder-Jovanović

Fazit Dr. Christina Binder-Jovanović

Aufgrund der guten Datenlage zu IL-17A-Inhibitoren und der starken Hautbeteiligung habe ich mich in diesem Fall entschieden, die Patientin auf Ixekizumab einzustellen. Der Verlauf der Therapie war unkompliziert. Die Patientin sprach schnell auf die Therapie an und ist nun schon seit Jahren sehr zufrieden mit der Therapie.
Die Studiendaten zu Taltz® bestätigen sich auch in der Praxis – besonders im Vergleich zu anderen IL-17-Antikörpern. Die pharmakokinetischen Unterschiede und die hohe Adhärenz meiner Patient:innen haben mich überzeugt. Seit ich mich intensiver mit den Daten auseinandergesetzt habe, schätze ich Taltz® noch mehr und bleibe bei meinen Einstellungen zunehmend bei Ixekizumab, weil es so unproblematisch und effektiv ist.
— Dr. Christina Binder-Jovanović

© Privat

Im folgenden Video fasst Dr. Binder-Jovanović ihre Erfahrungen zu diesem Patientenfall zusammen:

 
 

Die positiven Ergebnisse bei dieser Patientin decken sich mit den Erfahrungen mit Taltz® aus Real-World-Studien1:

  • ✓ Die Zwischenauswertung nach 3 Monaten der PRO-SPIRIT-Studie zeigen die starke Wirksamkeit von Taltz® auf die Haut in der klinischen Praxis (Abb. 5).1
 

 

Patientenquiz

Patientenquiz

Zurück zur Übersicht

Quellen
  1. Kristensen LE, et al. RMD Open. 2024;10(3):e004318

* Taltz®, allein oder in Kombination mit Methotrexat, ist angezeigt für die Behandlung erwachsener Patienten mit aktiver Psoriasis-Arthritis, die unzureichend auf eine oder mehrere krankheitsmodifizierende Antirheumatika (DMARD) angesprochen oder diese nicht vertragen haben.

PP-IX-DE-5231

Pflichttext Taltz®